Remedios caseros para las fracturas de dedos, manos y tibia

Remedios caseros para las fracturas de dedos, manos y tibia Descubre que es la fractura de falanges, falanginas y falangetas En la fractura de uno o varios dedos se produce hinchazón, deformación y dolor. Procedimiento para las fracturas de dedo Cuando se produce la fractura de un dedo, hay que intentar, con sumo cuidado, que recobre su postura normal, aplicando inmediatamente una tablilla estrecha por

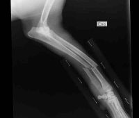
Remedios caseros por fractura del húmero

Remedios caseros por fractura del húmero Conoce todo sobre la fractura del húmero Cuando hay fractura en un brazo, el hueso roto es el húmero, o sea el hueso que une los huesos del antebrazo, cúbito y radio en el codo, con el hombro (clavícula y omoplato). En esta clase de fracturas hay hinchazón, deformación, dolor y generalmente hemorragia interna superficial.

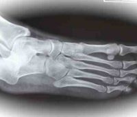
Remedios caseros para las fracturas en el pie

Remedios caseros para las fracturas en el pie Conoce los huesos que se fracturan en un pie Lo mismo que en las manos, los huesos que forman el pie y sus dedos (metatarsianos y calcáneo) pueden fracturarse como consecuencia de una caída, un golpe o un choque con algún objeto pesado. En caso de fractura de los pies hay también dolor, deformación e

Remedios caseros para las heridas con espinas y fiebre

Remedios caseros para las heridas con espinas y fiebre Conoce los huesos susceptibles a fracturas Fracturar es simplemente romper. Por consiguiente, una fractura no es otra cosa que el rompimiento de un hueso del cuerpo humano. Originado generalmente por una caída o, en último término, por un mal gesto. Un hueso, en estos casos, puede romperse o fracturarse por un solo punto o por

Remedios caseros para las heridas con espinas y fiebre

Remedios caseros para las heridas con espinas y fiebre Conoce sobre las heridas con espinas y astillas La espina de una flor o una astilla de madera (también puede ser de vidrio, metal o un alfiler o aguja), al introducirse por la piel, ejerce la acción de un cuerpo extraño, causando además una pequeña herida. Normalmente, tal situación no tiene importancia, aunque puede llegar

Remedios caseros para el tratamiento epilepsia

Remedios caseros para el tratamiento epilepsia Síntomas a considerar de la epilepsia Se trata de un trastorno cuyas causas reales todavía no ha logrado desentrañar por completo la medicina. Los aquejados por ésta enfermedad sufren ataques de carácter convulso con mayor o menor frecuencia. Tales ataques son sumamente espectaculares. En efecto, el enfermo se pone al principio tremendamente pálido y cae